Доц. д-р Невена Иванова
.
Световно признание за българския учен доц. д-р Невена Иванова, с нейното научно откритие, представено на най-престижния световен форум по генетика – ASHG ‘2025 в Бостън, САЩ

.
Доц. д-р Невена Георгиева Иванова, дм, кардиолог и преподавател в медицинските факултети на Медицински университет – Пловдив и Бургаски държавен университет, представи своето научно откритие на Годишната среща на Американското дружество по човешка генетика (American Society of Human Genetics – ASHG ‘2025), проведена от 14 до 18 октомври 2025 г. в гр. Бостън, Boston Convention and Exhibition Center.
.

.
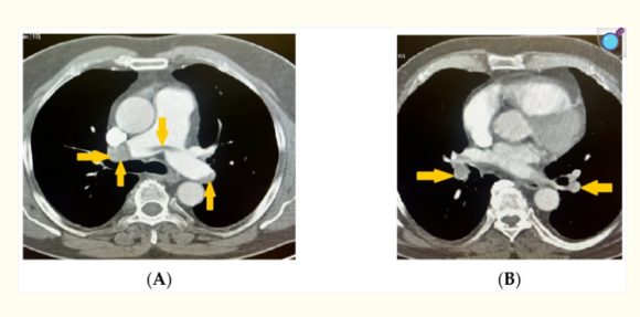
Случаят представлява първо описание на нова мутация в гена FGF23 (c.202A>G, p.Thr68Ala) при пациент с изключително рядко наследствено заболяване – хиперфосфатемичен вариант на туморна калциноза, усложнен с тежки съдови аневризми и тромбози.
.

ASHG Annual Meeting е най-престижният световен форум в областта на човешката генетика, организиран от най-голямата професионална организация по генетика в света. Събитието събира ежегодно между 7 000 и 10 000 участници от над 80 държави, сред които учени от Harvard, MIT, Stanford, Oxford, Cambridge, Columbia, Johns Hopkins, Boston University, University of Washington и др. Форумът представя най-новите достижения в геномиката, персонализираната медицина, биоинформатиката и терапевтичните иновации, включително лекции на световноизвестни учени, сред които тази година и директорът на Human Genome Project – Francis Collins.
Доц. Иванова е единственият участник от България, включен в научната програма, и самостоятелен автор на приетото съобщение. Нейното откритие е първо по рода си в световната литература и представлява значим принос към изследването на човешкия геном и генетичните механизми при редки заболявания, като подчертава нарастващата роля на молекулярната диагностика в съвременната медицина.
.

Научната й дейност демонстрира последователен интерес към взаимодействието между генетичните фактори и клиничната изява на заболяванията. В своята последна публикация, озаглавена „A Sole Case of Concurrent Arterial and Venous Thromboses with Massive Pulmonary Embolism and Carriage of Four Genetic Polymorphisms: Factor V Leiden, PAI-1 4G/5G, MTHFR C677T, and ACE I/D—A Case Report“, тя предлага нова интерпретация на възможните полигенни механизми, свързани с тромботичните процеси, допринасяйки за по-задълбоченото разбиране на молекулярните основи на тромбозата и развитието на персонализираната медицина.
Доц. Невена Иванова има три клинични специалности – вътрешни болести, кардиология и обща медицина. Нейната компетентност в областта на медицинската генетика е потвърдена чрез сертифицирана квалификация от Harvard Medical School, където тя е двукратно отличена за високи академични постижения.
.

Доц. Иванова е удостоена и с признание от Sigma Xi – The Scientific Research Honor Society, еднo от най-старите и престижни почетни научни общества, основано в Cornell University през 1886 г. в САЩ, част от което са множество Нобелови лауреати. Организацията обединява учени от световна величина, включително Алберт Айнщайн, Енрико Ферми, Робърт Опенхаймер, Франсис Крик и Джеймс Уотсън, Ричард Файнман, Лайнъс Полинг и Барбара МакКлинток, както и над 200 нобелови лауреати. Признанието се присъжда за високи научни постижения и принос към напредъка на знанието.
Участието й на форум от ранга на ASHG представлява значимо академично признание, което поставя българската медицинска наука редом до водещите световни институции в областта на геномиката.
Доц. Иванова подчертава, че напредъкът в науката се гради върху сътрудничеството и би се радвала на споделени идеи и общи проекти с колеги, работещи в областта на кардиологията, генетиката и общата медицина.
За научна кореспонденция с доц. д-р Невена Иванова: [email protected]
.
Снимки: Невена Иванова и Ирина Иванова
.